
画像提供:Radiopaedia
いよいよ来週に開催される当会の人気講座、「リハビリ・看護ケアに活かす 臨床画像判読講座」の内容から、脳画像問題をシェアします。
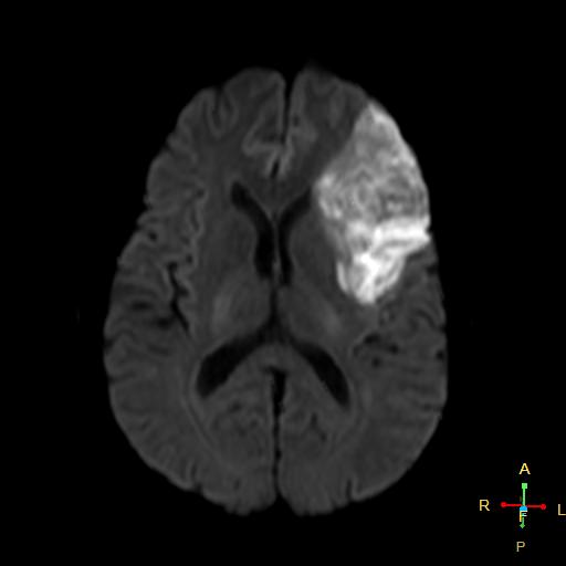
Q1.画像から予測できる脳卒中の病態は何でしょうか
Q2.画像から考えられる離床のリスクは何でしょうか
是非、解いてみてください。分からないという方は、下記講座の適応あり!
解答は最後にあります。
[脳画像の読み方と離床への活かし方を学びたい方は]
12月2日(土) 14:30~18:30 ※2週間見逃し受講期間有り
12月3日(日) 10:00~16:10
リハビリ・看護ケアに活かす 臨床画像判読講座
【講師】飯田 祥 先生 黒田 智也 先生
https://www.rishou.org/seminar/theory/r28-2023#/
皆様の申し込みを心よりお待ちしております。
[脳画像クイズの解答例]
Q1.境界明瞭な脳梗塞であり、心原性脳塞栓症であると考えられる。
Q2.離床は心機能と残留する心内血栓による再発に留意して進める必要がある。
画像判読講座では、詳しい画像の読み方と離床のリスクを解説します。



