
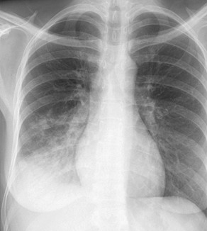
突然ですが、レントゲンクイズを出題します。画像の所見を読んで、離床の注意点を説明してください。
回答は最後をチェック!
[画像の判読と離床への活かし方を学びたい方は]
12月2日(土) 14:30~18:30 ※2週間見逃し受講期間有り
12月3日(日) 10:00~16:10
リハビリ・看護ケアに活かす 臨床画像判読講座
【講師】飯田 祥 先生 黒田 智也 先生
https://www.rishou.org/seminar/theory/r28-2023#/
皆様の申し込みを心よりお待ちしております。
〇書籍で胸部レントゲン画像読影を学びたい方は
実践!離床完全マニュアル2
https://www.rishou.org/publication/kanma2#/
[レントゲンクイズの解答例]
右横隔膜シルエットサイン陽性、右下肺野のすりガラス影とエアブロンコグラムを認めることから、右下葉の肺炎が疑われます。炎症パラメータと呼吸状態をアセスメントして、悪化傾向のときには、離床のを一度見合わせて、合併症を予防するADLレベルの活動にとどめます。
上記画像アセスメント講座では、詳しい読影方法と離床の進め方について解説されます。



