
脳卒中のアセスメントでみる脳画像。
実は筋アセスメントにも活用されることがあります。
どのようにみると思いますか?
【解説】
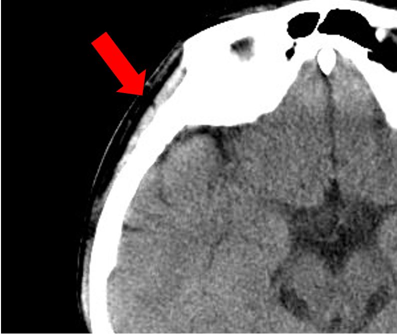
ズバリ、頭蓋骨の外にある「側頭筋」の厚さをみることで、筋萎縮や筋力低下の評価に活用するのです。
中脳レベルの画像で、側頭部に白い骨の外に薄くグレーに見えるのが側頭筋(矢印)です。

この側頭筋の厚さは、全身の骨格筋量や握力との相関が認められています。
筋力や栄養状態のアセスメントに活用できるので、脳画像を撮っている場合には、是非、チェックしてみてください。

脳卒中のアセスメントでみる脳画像。
実は筋アセスメントにも活用されることがあります。
どのようにみると思いますか?
【解説】
ズバリ、頭蓋骨の外にある「側頭筋」の厚さをみることで、筋萎縮や筋力低下の評価に活用するのです。
中脳レベルの画像で、側頭部に白い骨の外に薄くグレーに見えるのが側頭筋(矢印)です。

この側頭筋の厚さは、全身の骨格筋量や握力との相関が認められています。
筋力や栄養状態のアセスメントに活用できるので、脳画像を撮っている場合には、是非、チェックしてみてください。